世界初!新種のクラゲを2園館共同展示!
2025年09月22日
2園館共同インテグラルクラゲの世界初展示!
鶴岡市立加茂水族館 (所在地:山形県鶴岡市、館長:奥泉 和也) と長崎ペンギン水族館(所在地:長崎県長崎市、館長:田中 洋一) の2園館は、2018年に和歌山県で発見されたクラゲをもとに、2025年2月に新種として報告されたインテグラルクラゲの稚クラゲを長崎ペンギン水族館の目の前の海の橘湾で採集し、育成したクラゲを世界初展示することに成功しました。
育成したクラゲは黒潮生物研究所の戸篠祥主任研究員に形態観察および遺伝子解析を依頼して厳密な同定を行い、インテグラルクラゲと判明しました。
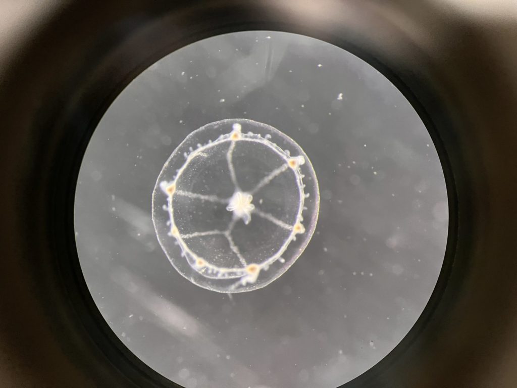
インテグラルクラゲ
Orchistoma integrale Sugimoto,Izumi&Collins,2025
ヒドロ虫綱 軟クラゲ目 オーキストーマクラゲ科 オーキストーマクラゲ属
写真提供:加茂水族館

成長した個体
写真提供:加茂水族館

本種の稚クラゲ
本種は半球状の傘に短くしわ状になっている口柄が特徴的であり、カール状の生殖腺が積分記号のインテグラル(∫)の形状に似ていることから和名がつけられました。
今後は本種の長期に渡る飼育に挑戦することで繁殖にも繋げ、その生活史を明らかにするとともに、得られた知見をもとに他種のクラゲ飼育にも役立てていきたいと考えております。
展示協力

